Uno de los principales riesgos asociados al consumo de agua con limón es la acidez estomacal. El limón, al ser un cítrico altamente ácido, puede irritar el revestimiento del estómago,
En los últimos años, el consumo de agua con limón en ayunas se ha popularizado como una práctica saludable que promete numerosos beneficios, desde la mejora de la digestión hasta la desintoxicación del organismo.
Sin embargo, detrás de esta tendencia refrescante, existen riesgos que merecen atención. Aunque muchas personas disfrutan de esta bebida por sus propiedades revitalizantes, es fundamental ser consciente de sus posibles efectos adversos, especialmente para aquellos con condiciones de salud preexistentes.

Uno de los principales riesgos asociados al consumo de agua con limón es la acidez estomacal. El limón, al ser un cítrico altamente ácido, puede irritar el revestimiento del estómago, lo que podría agravar problemas como la acidez o el reflujo gastroesofágico.
Para quienes ya sufren de estas condiciones, la ingesta de agua con limón podría resultar en un malestar significativo, afectando su calidad de vida. Es recomendable que las personas con estas afecciones consulten con un médico antes de incorporar esta bebida a su rutina matutina.

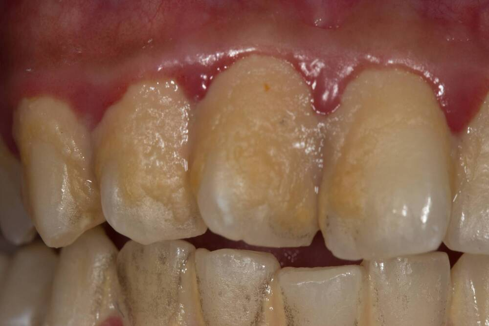
Otro aspecto a considerar es la erosión dental. El ácido cítrico presente en el limón puede desgastar el esmalte dental si se consume regularmente. Esta erosión puede llevar a problemas dentales más graves, como caries y sensibilidad dental.
Para mitigar este riesgo, se aconseja enjuagarse la boca con agua después de consumir agua con limón o utilizar una pajilla para limitar el contacto del ácido con los dientes. Mantener la salud dental es crucial, y pequeñas medidas pueden hacer una gran diferencia a largo plazo.

Además, aunque es poco común, algunas personas pueden experimentar reacciones alérgicas a los cítricos. Estos síntomas pueden variar desde irritación cutánea hasta problemas respiratorios, lo que subraya la importancia de estar atento a cualquier reacción inusual tras el consumo de agua con limón. Aquellos que saben que son alérgicos a los cítricos deben evitar esta bebida por completo para prevenir complicaciones en su salud.

La interacción con medicamentos también es un factor a considerar. El limón puede interferir con ciertos tratamientos, lo que podría afectar la eficacia de los mismos. Por esta razón, es esencial que las personas que toman medicamentos de forma regular consulten a su médico antes de adoptar esta práctica diaria. La salud es un tema serio, y estar bien informado sobre cómo los alimentos y bebidas pueden interactuar con los medicamentos es crucial para mantener un tratamiento efectivo.
Por último, el consumo excesivo de agua con limón también puede llevar a la deshidratación en algunas personas. El ácido puede causar una ligera pérdida de líquidos, lo que resalta la importancia de complementar esta bebida con suficiente agua a lo largo del día. La hidratación es fundamental para el funcionamiento óptimo del cuerpo, y es vital asegurarse de que no se produzca un desequilibrio hídrico.
Kelly Nava/ Pasante
Noticia al Dia
Recuerda seguirnos en nuestra NUEVA CUENTA INSTAGRAM , TIKTOK Y WHATSAPP
